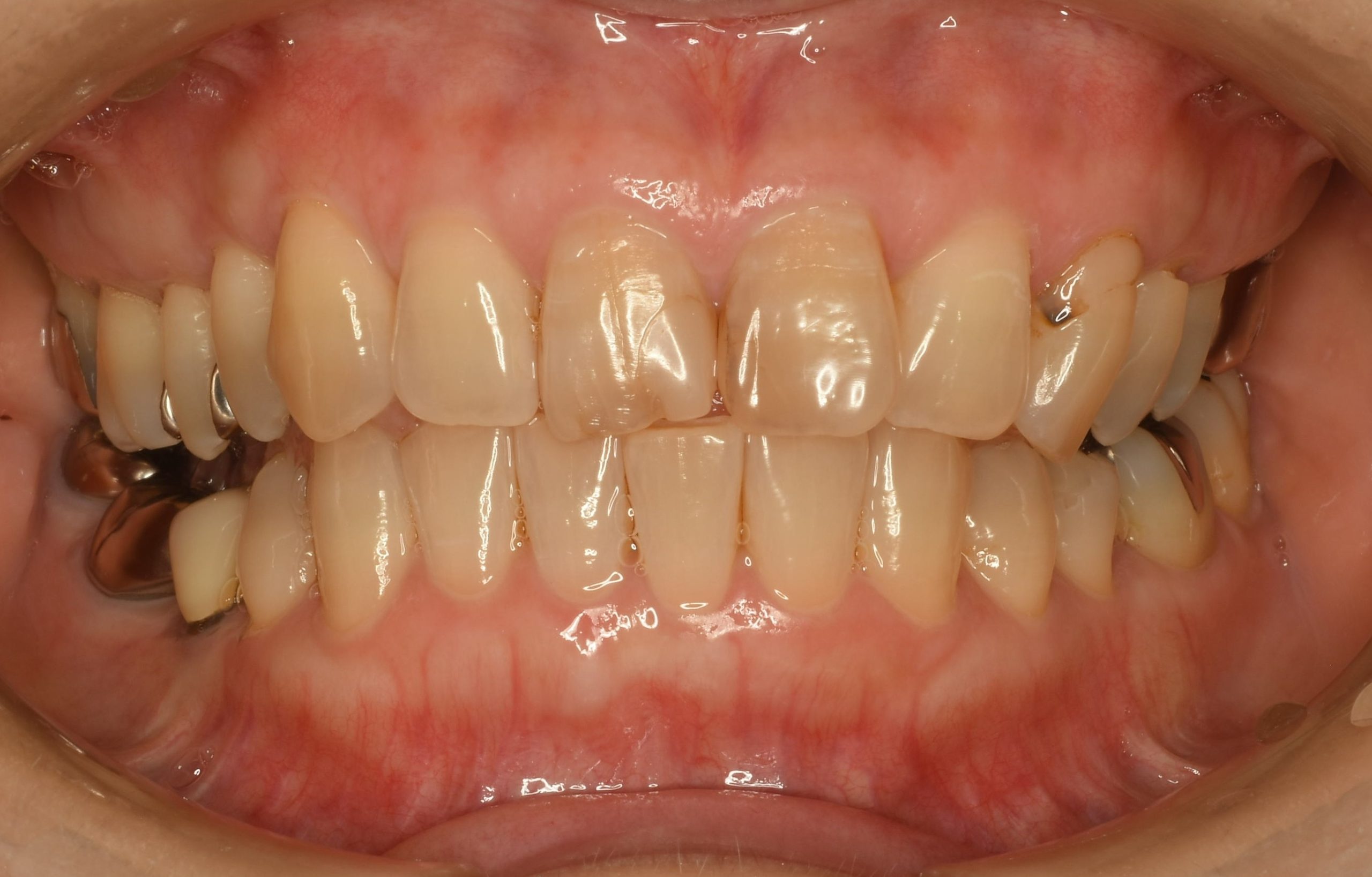
ホワイトニング
60代女性-白い歯で笑顔に自信!-
Before

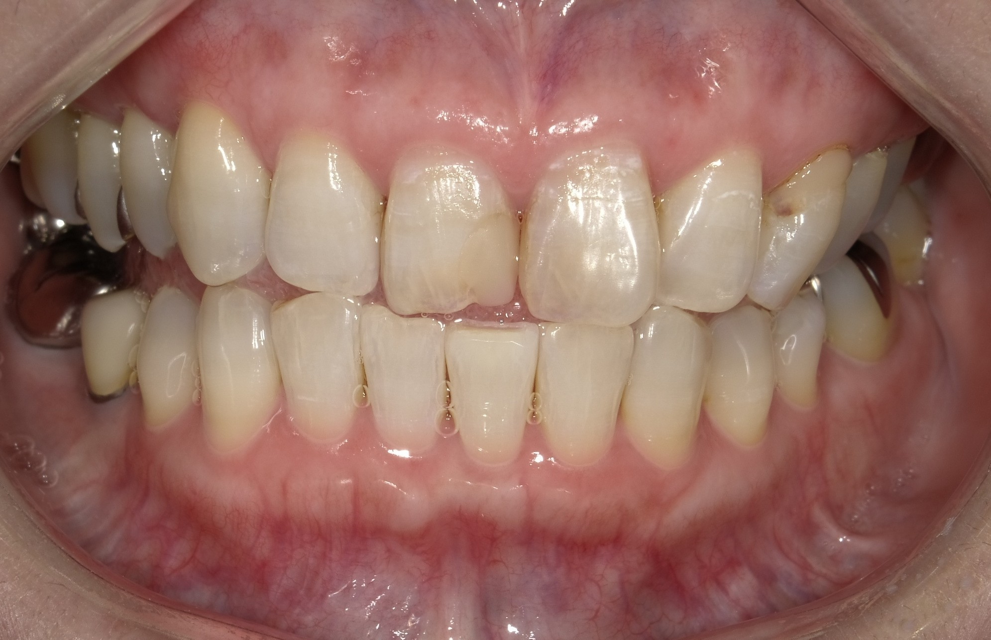
After

| 患者 | 30代男性 |
|---|---|
| 主訴・ニーズ | 歯を白くしたい 見た目を良くしたい |
| 診断名・症状 | 生活習慣による歯の着色 |
| 治療内容・治療費 (自費診療) |
ハイブリッドポリリンホワイトニング 6回コース 66,000円 |
| 治療費総額 | 66,000円 |
| 治療期間 | 2ヵ月 |
| 来院頻度 | 1~2週間に1回 |
| リスク・副作用 | 知覚過敏を起こすことがあります。 白くなり方には個人差があります。 |
Before

After

| 患者 | 30代男性 |
|---|---|
| 主訴・ニーズ | 歯を白くしたい 見た目を良くしたい |
| 診断名・症状 | 生活習慣による歯の着色 |
| 治療内容・治療費 (自費診療) |
ハイブリッドポリリンホワイトニング 6回コース 66,000円 |
| 治療費総額 | 66,000円 |
| 治療期間 | 2ヵ月 |
| 来院頻度 | 1~2週間に1回 |
| リスク・副作用 | 知覚過敏を起こすことがあります。 白くなり方には個人差があります。 |